正常牙齿和牙周炎牙齿通常存在较大区别,主要包括牙体、牙周。正常牙齿一般有28-32颗牙齿,而牙周炎牙齿没有固定数量,通常有个别牙齿7-8颗,甚至更多。


一.牙周炎是什么?

1. 牙体部分:正常牙齿没有牙釉质,牙齿比较脆弱,容易发生折裂。牙周炎牙齿有牙结石、牙龈萎缩、牙根暴露等,并且牙釉质较为脆弱,易出现损伤。

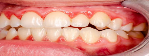
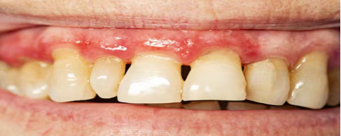
2. 牙周部分:正常牙齿没有牙周膜,牙周组织包括牙龈、牙周膜、牙槽骨等,由于牙周支持组织包括牙龈、牙周膜、牙槽骨等,正常牙齿没有牙周膜,所以牙龈比较薄,表面呈粉红色,质地较为坚韧。而牙周炎患者由于感染、食物嵌塞等原因,牙龈会出现红肿,质地变脆,并且牙槽骨萎缩,牙齿会出现松动,因此在牙周袋壁或者牙根部位会形成深袋状结构。
3. 牙周炎:牙周炎患者由于牙龈萎缩、牙槽骨吸收等原因,导致牙周袋形成,牙槽骨出现暴露。此外,由于牙周炎导致牙龈萎缩,还会导致牙根暴露,造成牙齿过早出现松动以及移位的情况。

4.其他方面:正常牙齿有较为清晰的咬合面,而牙周炎患者由于牙槽骨吸收、牙龈萎缩、牙根暴露等,会导致咬合面不平整,甚至出现个别牙齿倾斜或者伸长的情况。
如果想要区别牙齿是否正常、牙周炎所致牙齿松动、移位,建议到医院口腔科由医生进行临床检查。如果是正常牙齿、牙周炎所致,建议遵医嘱进行洗牙治疗、龈下刮治治疗,以及根面平整治疗等,以缓解症状。


二.牙周炎是怎么形成的?

1. 疾病病因:牙龈炎的病因主要是口腔卫生不佳,导致牙菌斑、牙结石等聚积,长期刺激牙龈组织引起炎症。而牙周炎主要是由于吸烟、精神压力大、不良修复体等因素,导致牙周组织出现慢性炎症。
2. 疾病症状:牙龈炎的症状主要表现为牙龈组织的红肿、疼痛、出血等,而且患者口腔卫生不佳的症状比较明显,会出现口臭、牙龈出血、牙龈萎缩、牙根暴露等。而牙周炎的症状主要表现为牙龈萎缩、牙齿松动、牙槽骨吸收,部分患者还会出现牙龈出血、溢脓,以及牙周脓肿、牙龈脓肿等症状。

牙周病是常见的口腔疾病。牙齿周围的组织受损,严重者牙齿松动脱落。因此大家一定要认真有效刷牙、定期进行口腔检查。

